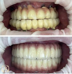
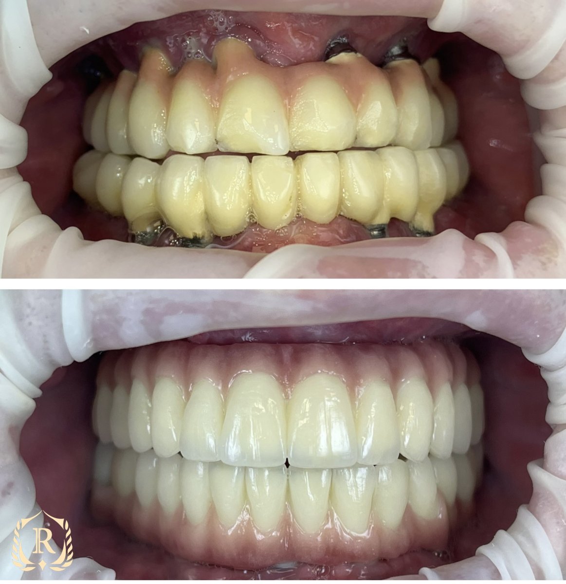
La planification Smilecloud™ assistée par IA combine les données CBCT 3D avec les mouvements faciaux pour une pose d'implant de précision. Le forfait complet coûte environ 8 220 $, couvrant 12 implants Alpha-Bio et 24 couronnes céramo-métalliques. Le Dr Máté Vincze, titulaire d'un Master en implantologie, réalise le traitement en deux étapes chez Rosental Dental, un établissement accrédité par l'ITI. Les patients bénéficient d'une garantie à vie sur les implants et séjournent dans des appartements situés dans le même bâtiment pendant les 11 jours de séjour total, avec transferts aéroport et greffes osseuses éventuelles inclus.








