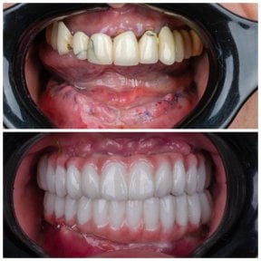
La fonction immédiate le jour même signifie que les patients quittent la clinique avec une prothèse provisoire – sans période d'attente. Le forfait transparent coûte environ 3 300 $ et couvre 6 implants de marque italienne, un scanner CBCT et la conception numérique du sourire. Le Dr Mohamed Omara, titulaire d'un master de l'Université de Parme, assure les soins directs aux Omara Dental Centers au Caire. Le tarif inclut l'hébergement et les transferts, combinant le traitement avec une visite culturelle à proximité du Musée égyptien et du Nil.








