
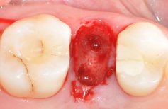
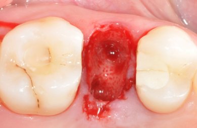
La préservation alvéolaire après l'extraction dentaire prévient la perte osseuse future pour la pose d'implants. Ce forfait, au prix d'environ 350 $, comprend la greffe avec des matériaux de qualité supérieure, l'imagerie intra-orale, ainsi que les thérapies par facteurs de croissance PRP et PRF pour accélérer la cicatrisation. Le Dr Mario Garibay, fort de plus de 20 ans d'expérience et d'une formation avancée de l'Université de Loma Linda, réalise l'intervention au sein de la clinique multidisciplinaire SoftDentalCare Clinic. Un examen de suivi est inclus pour une prise en charge complète.
